Antalya'da Y.S.'nin (32) 2 yıl önce doğum yaptığı özel hastanede vücudunda unutulan yaklaşık 30 santimetrelik gazlı bez, yaşadığı ağrılar nedeniyle gittiği hastanede çekilen tomografide ortaya çıktı ve ameliyatla alındı. Büyük şok yaşayan genç kadın, hastane ve doktor aleyhine dava açmaya hazırlanıyor. Konudan yeni haberdar olan hastane yönetimi ise iddiayı incelediklerini bildirdi.
12 GÜN HASTANEDE KALDI
Antalya'da yaşayan Y.S., 2021 yılında kızını dünyaya getirmek için özel bir hastanede doğuma girdi. Burada sezaryen ile doğumu gerçekleştirilen Y.S., taburcu edildiği gün yaşadığı kusma ve ağrı şikayetiyle tekrar aynı hastaneye başvurdu. Bağırsaklarında yaşadığı sıkıntı nedeniyle 12 gün hastanede yatan Y.S. yeni dünyaya getirdiği bebeğinden de ayrı kaldı. Annesinin emziremediği bebek, mama ile beslendi.

DİKİŞLERİ İLTİHAPLANDI
Hastaneden taburcu edilen Y.S.nin bu sefer de dikişlerinden iltihap akmaya başladı. Tekrar başvuran Y.S.ye doğumunu yaptıran doktoru D.A. iddiaya göre durumun normal olduğunu ve iltihabın zamanla biteceğini söyledi. Hastaneden ayrılan Y.S.nin 2 yıl boyunca ara ara ağrıları ve iltihap akıntısı devam etti. Bu süre zarfında başvurduğu hastanelerden bir sonuç alamayan genç kadın, ağrıyla geçen 2 yılın ardından 2 ay önce Antalya Eğitim ve Araştırma Hastanesine başvurdu.
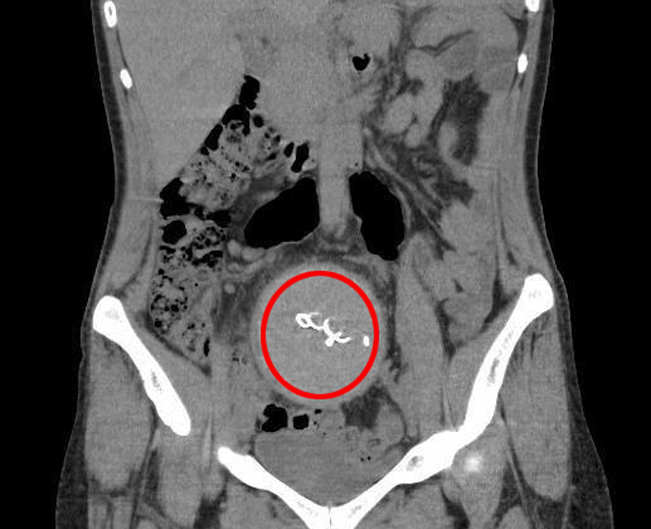
İKİ YIL AĞRI ÇEKTİ
Burada yapılan kontrolde doktor acil tomografi çektirmesini istedi. Çekilen tomografide Y.S.nin vücudunda doğum sonrası unutulan sargı bezi görüldü. Büyük şok yaşayan Y.S., 2 yıldır yaşadığı ağrılara ihmalin sebep olduğunu öğrendi. Y.S.'nin karnında unutulan yaklaşık 30 santimetre uzunluğundaki gazlı bez ameliyatla çıkarıldı. Y.S., hastane ve doktor hakkında hukuki süreci başlatması için avukatı Hasret Başa başvurdu.

DOKTOR İLTİHAP İÇİN 'NORMAL' DEDİ
Çok zor günler yaşadığını belirten Y.S., 2 yıl boyunca ağrılarının ve ara ara iltihap akışının devam ettiğini söyledi. Y.S., Farklı hastanelere de başvurdum ancak kimse bir teşhis koyamadı. En son Antalya Eğitim ve Araştırma Hastanesine başvurdum. Burada bana doğum sırasında vücudumda sargı bezi kaldığı söylendi. İlk doğum yaptığımda 10 gün boyunca ağrılarım yüzünden çocuğumu kucağıma bile alamamıştım" diye konuştu.
"MADDİ VE MANEVİ DAVA AÇACAĞIZ"
Konuyla ilgili adli süreci başlatmak için dosyalarını hazırladıklarını söyleyen Avukat Hasret Baş, Ameliyathanedeki doktor ve hemşire tarafından ameliyat öncesi sayım yapılır sonrasında yine sayım yapılıp kapatılmış olsaydı bu olay yaşanmayacaktı. İçerisinde gazlı bez unutulan müvekkilim 2 yıl boyunca çok ağır sağlık sorunlarıyla karşılaştı. Adli makamlara intikal ettireceğiz" dedi.
Konudan yeni haberdar olduklarını belirten hastane yönetimi ise iddiayı incelediklerini bildirdi. Konuyla ilgili yorum yapmayacaklarını belirten yönetim, inceleme sonrasında gerek görülürse açıklama yapılacağını ifade etti.