CHP Genel Başkanı Özgür Özel, ayağının kırılmadığı aslında silahla vurulduğunun öne sürülmesi üzerine Sözcü’ye açıklamalarda bulundu. Özel’in alkollü ayrıldığı mekanda ayağını kırdığı iddiaları da ortaya atılmıştı. Ev kazası geçirdiğini belirten Özel şunları söyledi:

CHP Genel Başkanı Özgür Özel, AYM’nin Can Atalay kararını görüşmek için 16 Ağustos’ta olağanüstü toplanan TBMM Genel Kurulu’na, kırılan ayağına takılan atel ile katılmıştı.
‘FETÖ’CÜ HESAPLARIN YALANI’
“Herkesin başına gelebilecek, geçirdiğim bir ev kazası üzerinden, hepimizin kimler olduğunu iyi bildiği bir grubun, sosyal medyadan akıl ve ahlak dışı bir kampanya başlattığını ve farklı pek çok kişinin bu gündemin peşine takıldığını gerçekten şaşkınlıkla takip ettim. Tarihsel husumetimiz olan FETÖ’cü hesapların yaydığı bir yalan, daha sonra üzerine eklenerek, boyutlandırılarak kasıtlı olarak devam ettirildi. Parti Sözcümüz açıklama yaptı, ben bizzat açıklama yaptım ancak bu iddialar sürdürüldü. Çünkü bunu yapanların gerçekle dertleri yok, tek amaçları bize ve partimize zarar vermek. Bunu herkes biliyor ve görüyor. Bu gündemlere teslim olacak değiliz. Bu konuda açıklama yapmayı bile aslında zül sayıyorum. Biz işimize bakıyoruz. Bizim gündemimizde memleketin sorunları ve bu sorunlara üreteceğimiz çözümler var. Herkese açık, şeffaf bir şekilde çalışmalarımıza devam ediyoruz.”

‘GEÇİM YOK, SEÇİM OLACAK’
CHP lideri dün, Sosyal Demokrat Belediyecilik Eşgüdüm Konseyi Toplantısında yaptığı konuşmada ise Cumhurbaşkanı Recep Tayyip Erdoğan’a seslenerek, “Biz milletin yükselen sesini duyuyoruz. Yapamıyorsan bırak biz yaparız. Biz halkın partisiz, milletin partisiz. Zenginlerin, çetelerin, şımarıkların değil, mağdurların ve mazlumların hizmetine talibiz. Seçim olmuyor, ne kadar direnirsen diren önünde sonunda geçim olmadığı için seçim olacak o seçimde de bu milletin iktidarı olacak” dedi. Özel, Türkiye’nin birçok yerinde çıkan orman yangınlarına dikkati çekerek, “Büyükşehir belediyelerinde yangın söndürme uçağı bulundurmasına izin vermiyorlar” yorumunu yaptı.
PROFESÖRE İNCELETTİK

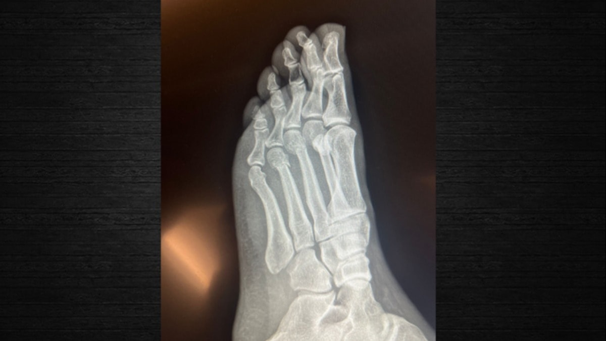
‘Parmak kemiklerinde kırıklar var’
CHP Genel Başkanı Özgür Özel’in “Herkes inceleyebilir” dediği filmleri SÖZCÜ, Ortopedist Prof.Dr. Tarık Yazar’a incelettirdi.

Prof. Yazar
Prof. Yazar, Özgür Özel’e ait elimizdeki röntgen filmlerini inceleyerek şunları söyledi: “Sayın Özgür Özel’in röntgen filmlerini incelediğimizde parmak kemiklerindeki kırıkları gördüm. Açık bir yara olmaması bir şanstır. Yani, dışarıya kan akmamış. Röntgende yara olup olmadığı her zaman görülmez. Ancak, Özgür Bey’in röntgenini incelediğimizde yine de şanslı olduğunu gördüm. Biz buna ‘şanslı kırık’ deriz. Aslında tam kırık da diyemeyiz. Ayrılmamış, kemiğin özelliği bozulmamış. İyileşme yeteneğinin fazla olduğu bir bölgede kırık var. Şanslı tarafı kanlanmanın kuvvetli olduğu bir bölgede kırık gördüm. Bilgisayarlı tomografiyle takibi uygun olur. Tedaviye doğru başlanmış. Mutlaka iyileşecektir. Kullandığı ayak desteği gayet doğru bir seçim. Üç aya kalmaz tam iyileşme gerçekleşir. Lütfen bir daha düşmesin.”