Cambridge Üniversitesi Psikiyatri Bölümü tarafından yapılan bir araştırma, insan beynine dair yeni bir bilimsel bilgiyi ortaya koydu. Porno bağımlısı 19 erkek birey üzerinde yapılan araştırmada beyinsel aktiviteler izlendi, sonuçlar ise bilim dünyası adına şaşırtıcı noktalar barındırdı.

Erken yaşlarda ve sağlıklı bireylerin normalden fazla/aşırı porno içerik izlemesi olarak tanımlanan porno bağımlılığının beyinde yarattığı etkinin uyuşturucu bağımlılığı ile benzer özelikler taşıdığı ortaya çıktı. Yani porno bağımlılığı ile uyuşturucu bağımlılığı birbirlerinin hemen hemen aynısı…

Sonuç şaşırtmadı

Welcome Trust tarafından finance edilen bilimsel araştırma ile ilgili olarak Cambridge Üniversitesi’nden Dr. Valeria Voon; yapılan araştırmanın uyuşturucu ve porno bağımlılığı arasındaki ilişkiyi görmek istemeleri ile doğduğunu sonuçların bekledikleri gibi olduğunu belirtti.

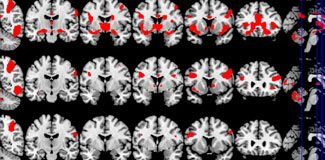
Beyinde benzer aktiviteler

Sonuçlarda porno bağımlılığı ile uyuşturucu bağımlılığı sorunları yaşayan bireylerin beyin aktiviteleri benzer özellikler gösteriyor. Her iki unsurda da beyin aktivitelerinin beynin üç bölgesinde yoğunlaştığı, bunun normal insanlarda bu seviyede görülmediği de açıklandı.

Araştırmaların bunda sonraki evresinin porno ve uyuşturucu bağımlılığı arasındaki bağın nedenlerine yoğunlaşacağı da bilim insanları tarafından dile getirildi.

www.shiftdelete.net