Hindistan'da benzerine zor rastlanan bir olay yaşandı... Dünyanın sayılı tıp dergilerinden biri olan New England Journal of Medicine'de yer alan haberde 4 yaşındaki bir çocuk öksürürken boğazından ince ıslık gibi bir ses çıkması sonrasında doktora götürüldü.

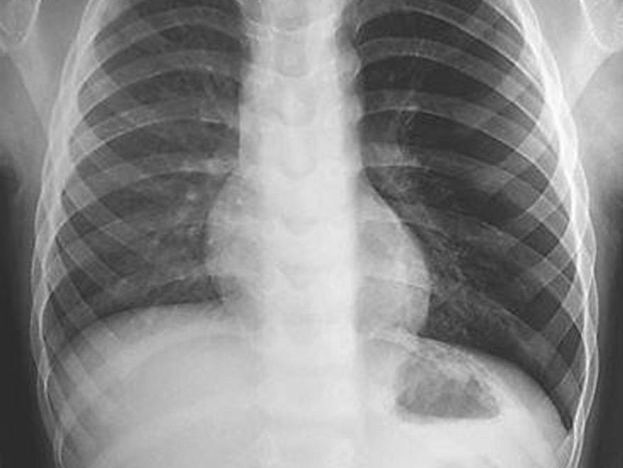
Çocuğun vücudunun sol tarafındaki şişlik röntgen sonuçlarında rahatlıkla görülüyor. Çocuğun vücudunun sol tarafındaki şişlik röntgen sonuçlarında rahatlıkla görülüyor.


Durumdan şüphelenen ve endişelenen aile, doktora götürdüğünde ise bir şok daha yaşadı. Çocuğun röntgeni çekilirken, doktorlar durumu inceledi ve sol göğsündeki ciğerlerde bir şişlik olduğunu fark etti. İncelemeyi detaylandıran yetkililer çocuğun bronşunda bir düdük bulunduğunu tespit etti.

Doktorlar, rahatsızlığa neden olan düdüğü çıkardı. Doktorlar, rahatsızlığa neden olan düdüğü çıkardı.


Çocuğun ciğerlerine hava veren bronşundan zorlu bir ameliyatla düdük çıkarıldı. Yetkililer, çocuklara dikkat edilmesi gerektiğini ve bu yaşlardaki çocukların yanlışlıkla tehlikeli eşyalar yutabileceğini duyurdu. Dergideki araştırmada çocuğun sağlık durumunun düzeldiği ve ciğerlerindeki şişliğin ortadan kalktığını duyurdu.