Corona virüsü geçiren ve hastalık belirtileri halen devam eden kişilerde görülen "Uzun Covid-19" sendromu ile ilgili dikkat çekici bir araştırma yapıldı. Bilim insanları Covid-19'un beyindeki etkilerini incelerken ilk kez bazı bulguları elde etti.

Delhi'deki Hindistan Teknoloji Enstitüsü'nde görevli bilim insanları son 6 ay içerisinde Covid-19 geçiren 46 kişi ile Covid-19 bulaşmayan 30 kişinin beyinlerinde inceleme yaptı. MR sonuçlarını mercek altına alan bilim insanları Covid-19 geçirip sağlığına kavuşan kişilerin çoğunun beynin ön lobundaki kılcal damarlardaki kan akışının değiştiğini ortaya çıkardı.

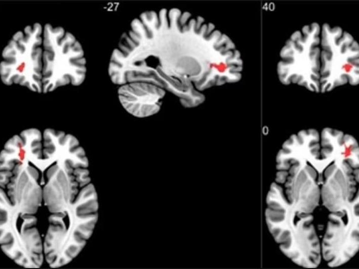
Bilim insanları kırmızıyla işaretlenen bölgelerde değişim meydana geldiğini açıkladı.


Beynin kendini ifade etme ve bedensel hareketlerle ilgili noktalarında bu değişikliğin meydana geldiği belirtilirken beyinde yorgunluk, baş ağrısı ve kavrama yeteneğini yöneten bölgelerde plaklar oluştuğu da ortaya çıktı.

Hindistan'da yapılan araştırmanın Covid-19'un doğrudan beyindeki etkisi ile ilgili olan ilk çalışma olduğu belirtilirken Covid-19'un beyinde fiziksel değişikliklere sebebiyet verdiği de belirtildi.

ABD merkezli Hastalık Kontrol ve Önleme Merkezleri, Covid-19 geçiren her 5 yetişkinden 1'inin Uzun Covid-19 sendromundan müzdarip olduğunu açıklamıştı.

Hindistan'da yapılan araştırmayı yürüten Sapna Mishra, "Beyinde değişim olduğu ortaya çıkan bu bölgeler halsizlik, insomnia, anksiyete, depresyon, baş ağrısı ve kavrama yeteneğini ilgilendiren bölgeler" dedi. Beyindeki beyaz maddede değişiklikler oluştuğu kaydedilirken hormonların salınmasında önemli bir rolü olan bölgede de değişiklikler olduğu duyuruldu.