İstanbul Üniversitesi, Diş Hekimliği FakülaCerrahisi Öğretim Üyesi Prof. Dr. Osman Zeki Gümrü, yaygın ve önemli bir sağlık sorunu olan dişeti hastalıklarıyla ilgili bilinmesi gerekenleri anlattı…
Kadınların vücudunda regl dışında oluşan her kanama tehlike işaretidir. Ancak dişeti kanamaları nedense pek önemsenmez. İdrarında kan görünce hemen doktora koşan pek çok kişi, dişetleri kanamasın diye ya dişlerini daha nazik fırçalar ya da fırçalamayı bırakır. İşte bu son derece yanlıştır...
Tedavi edilmezse çene kemiğini eritir!
Başlangıçtaki basit bir dişeti iltihabı tedavi edilmezse, diş kökünün çevresindeki dişi çene kemiğine bağlayan elastik lifleri (periodontal doku) ve çene kemiğini eriterek dişlerin sallanmasına ve nihayet kaybedilmesine neden olur. Bu noktada diş ile dişeti arasından sarı renkte, cerahatli bir sıvı gelir. Hastaların pek çoğu dişlerinde küçücük bir çürük dahi olmadığı halde sallandığını söyler. Şunu özellikle vurgulamak istiyorum ki, dişeti hastalığının ilk belirtisi kanamadır. Kanama olduğunda diş hekimine danışmamak son derece yanlış bir davranıştır çünkü bu tür bir durumda dişeti iltihabı artarak devam eder ve periodontal hastalık dediğimiz, dişin kökü çevresindeki doku ve çene kemiğinde erime başlar.
Bakteri plağının 1 gramında 14 milyon mikrop var
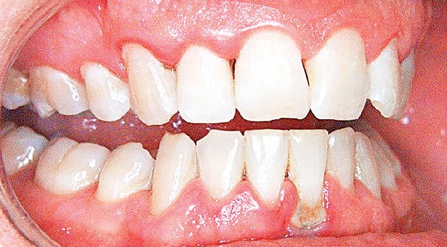
Sağlıklı dişeti, genel olarak emme, diş fırçalama, kürdan veya diş ipi kullanımıyla kanamayan, açık pembe veya gül pembesi renginde bir dokudur. Ancak dişetinin rengi şahsın cilt rengine göre değişiklik gösterebilir. Esmer kişilerde deriye renk veren melanin maddesinin dişetinde fazla birikmesi sonucu koyu kahverengi lekeler oluşur. Dişeti iltihaplandığı zaman gevşer, kızarır, şişer ve minik bir temasla bile kolayca kanar. Bu noktada üzerinde önemle durulması gereken sebeplerden en önemlisi bakteri plaklarıdır. Ağızdaki bakteri plağı, kısmen sindirime uğramış ve dişler üzerine yapışmış gıda birikintileri üzerindeki mikroplar topluluğudur. Dişler fırçalanmadığı zaman hemen oluşabilen bu bakteri plağının bir gramında yaklaşık 14 milyon mikrop vardır. İşte bu mikropların ürettikleri zararlı maddeler, dişetinin iltihaplanmasına ve dolayısıyla dişeti kanamalarına ve ağız kokusuna sebep olur.
DİKKAT
Hastaların diş taşlarıyla ilgili çok fazla yanlış değerlendirmesi vardır. Bazı kişiler diş taşı temizliğinin dişlere zarar verdiğini, dişleri çizdiğini ve bu nedenle dişlerini temizletmediğini söylemektedir. Oysa bu tamamen yanlış bir düşüncedir. Diş taşının birikme hızına bağlı olarak her altı ayda veya yılda bir kez mutlaka diş taşı temizliği yapılmalıdır.
Diş taşları da iltihabı tetikler
Dişeti iltihaplarının bir diğer sebebi de diş taşlarıdır. Tartar da denen diş taşları, bakteri plaklarının temizlenmemesi halinde kalsiyum ve fosfat iyonlarının plak üzerine çökelmesiyle oluşur. Diş taşları bir kısmı dişeti üstünde, bir kısmı da dişeti altında meydana gelen, kirli sarı renkte, kireçli sert maddelerdir.

Dişeti, altında oluşan kanamalar nedeniyle zaman içinde siyah renge dönüşür. Daha çok tükürük kanallarının ağız boşluğuna açıldığı yerlerde, yani alt çenedeki ön dişlerin dil tarafında ve üst azıların yanak tarafında biriken bu diş taşları vücut için yabancı birer cisimdir. Bu diş taşları dişetini tahriş eder ve iltihaplanmasına sebep olur. Dişetleri şişer, kanamaya başlar ve çekilir.
Dişeti iltihabına yol açan faktörler
- Beslenme: Sert ve lifli gıdalar dişetlerine temizleyici ve masaj etkisi yapar. Halbuki pasta, börek, sütlaç gibi karbonhidrat ağırlıklı yiyecekler bakteri plağının oluşmasına ve dişetlerinin sağlıksız olmasına neden olur.
- Ağızdan nefes alınması veya gece ağız açık uyumak: Normal olarak istirahat halindeyken alt ve üst dudaklar birbirine temas etmelidir. Aksi bir durumda kişi ağzından nefes aldığı için dişler ve dişetleri kurur; kuruyan dişetleri üzerinde de çatlaklar oluşur. Mikroplar bu çatlaklardan içeriye girerek dişeti iltihabını oluşturur. Yine burun bölmesinde eğrilik olanlar ve geniz eti olan çocuklar burundan nefes alamadıkları için ağızdan nefes almak zorunda kalır. Bu kişilerde ağız kuruluğu ve dolayısıyla dişeti hastalığı kaçınılmaz olur.
- Özellikle çocuklarda dudak bağları: Dudak bağları, dişeti kenarına yakın yapışmış ise dudağın her oynamasında bu bağ dişeti kenarını oynatır ve dişten ayrılmaya başlar. Dişten ayrılan dişetinin içinde gıda artıkları, buna bağlı olarak da mikroplar artar ve bunun sonucunda dişeti iltihabı oluşur.
- Diş çapraşıklığı olan kişilerde: Yemek esnasında dişler arasında fazla miktarda gıda artığı toplanır. Normal diş dizisine sahip bir kişi yanak, dudak ve dil hareketleri ve tükürüğün de yardımıyla dişlerde doğal bir temizleme yaparken, dişlerinde çapraşıklığı olanlar bu temizliği yapamaz. Hatta çapraşıklığın ileri derecede olduğu durumlarda fırçalama bile bu bölgeleri temizleyemez. Bu nedenle dişlerinde çapraşıklık olan kişilerin mutlaka ortodontik tedavi olmaları gerekir. Aksi halde sonraki yaşlarda diş ve dişeti hastalığı yaşamaları kaçınılmaz olur.
- Fonksiyon bozukluğu: Bir tarafında eksik veya çürük dişler olması nedeniyle tek taraflı çiğneme yapmak zorunda kalan kişiler, doğal temizlenme olamayacağı için kullanmadıkları tarafta dişeti daha kolay iltihaplanır.
- Diyabet (şeker hastalığı), Sjögren, Parkinson, Hodgkins gibi ağız kuruluğu yapan hastalıklar.
- Stres.
- Lösemi (Kan kanseri)
- Antidepresan, antihistaminik, diüretik (idrar söktürücü), tansiyon ilaçları gibi ağız kuruluğu yapan ilaç kullanımı.
- Antiepileptik ilaç kullanımı.
- Baş-boyun radyoterapisi görmek.
- Kemoterapi nedeniyle tükürüğün akıcılığının azalması.
- Menopoz sonrası görülen ağız kuruluğu.
- Tütün kullanımı.
Tedavi yolları nelerdir?
Bakteri plaklarının dişlerin tüm yüzeylerinden kaldırılması gerekir. Bunun için dişler günde en az üç kez ve üç dakika süreyle fırçalanmalıdır. Ancak fırçalamayla dişlerin sadece ön ve arka yüzleri temizlendiğinden bu işlem tek başına yeterli olamaz. Dişlerin ara yüzleri, diş ipleri, kürdan, lastik uçlar ve tazyikli su veren aletlerle temizlenmelidir. Diş taşları ise hasta tarafından fırçalamayla ortadan kaldırılamaz. Dişlere sıkı bir şekilde yapışan diş taşları ancak özel aletlerle diş hekimi tarafından temizlenebilir.
Kontrollerinizi aksatmayın
Son olarak şunu ifade etmek istiyorum; hayat boyunca dişlerin üzerinde diş taşı olmamış insan sayısı çok azdır. Bir de diş taşlarının dişeti altında gizli olarak bulunabileceğini düşünürsek, dişeti iltihaplarından korunabilmek için periyodik diş hekimi kontrolünü ihmal etmemek gerekir. Normal olarak altı ayda bir, dişeti problemleri olanlar üç-dört ayda bir diş hekimine gitmelidir. Gece uykumuzda tükürük akışı durduğu için dişetleri savunmasız kalır ve bakteriler daha etkili olur. Bu nedenle gece yatağa girmeden önce yapılacak fırçalama ve ağız bakımı çok önemlidir.
AKLINIZDA BULUNSUN...
Sağlıklı bir dişeti, diş fırçalamakla, kürdan ve diş ipi kullanmakla asla kanamaz.