Rusya, ülkede ilk maymun çiçeği vakasını tespit edildiğini duyurdu.
Tüketim güvenliği kurumu Rospotrebnadzor’dan yapılan açıklamada, hastalığın genç bir erkekte görüldüğü bildirildi. Söz konusu kişinin Avrupa turundan döndüğü kaydedildi.
Rospotrebnadzor, hastada belirtilerin hafif seyrettiğini ve bulaşma riskinin düşük olduğunu aktardı.
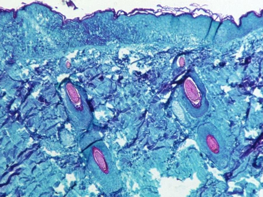
Afrika’da endemik bir virüs olan maymun çiçeği mayıs ayından bu yana Avrupa ve Amerika’da da hızla yayılıyor. Hastalık şu ana kadar Türkiye dahil 50’den fazla ülkede 7600’den fazla kişide görüldü.
[old_news_related_template title="DSÖ: Maymun çiçeğinde can kaybı arttı" desc="Maymun çiçeği virüsünün dünyada ve özellikle Avrupa’da yayılması büyük endişe yaratırken Dünya Sağlık Örgütü, virüsün yol açtığı can kaybının arttığını duyurdu." image="https://sozcuo01.sozcucdn.com/wp-content/uploads/2022/07/07/iecrop/shutterstock_2051584673_16_9_1657117613_16_9_1657180588.jpg" link="https://www.sozcu.com.tr/2022/saglik/dso-maymun-ciceginde-can-kaybi-artti-7236554/"]
[old_news_related_template title="Uzmanlardan maymun çiçeğinde 'üç hafta' uyarısı" desc="Son dönemde dünyada hızla yayıldığı için endişelere neden olan ve Türkiye’de de görülen maymun çiçeği virüsüyle ilgili yeni bir araştırma, virüsün belirtileriyle ilgili önemli bir noktaya ışık tuttu." image="https://sozcuo01.sozcucdn.com/wp-content/uploads/2022/07/06/iecrop/monkeypox-reuters-1_16_9_1656683582_16_9_1657106022.jpg" link="https://www.sozcu.com.tr/2022/saglik/uzmanlardan-maymun-ciceginde-uc-hafta-uyarisi-7235005/"]
Rusya'da ilk maymun çiçeği vakası açıklandı
Özellikle Avrupa’da hızla yayılması nedeniyle endişe yaratan ve Türkiye'de de görülen maymun çiçeği virüsü Rusya’ya da sıçradı.