
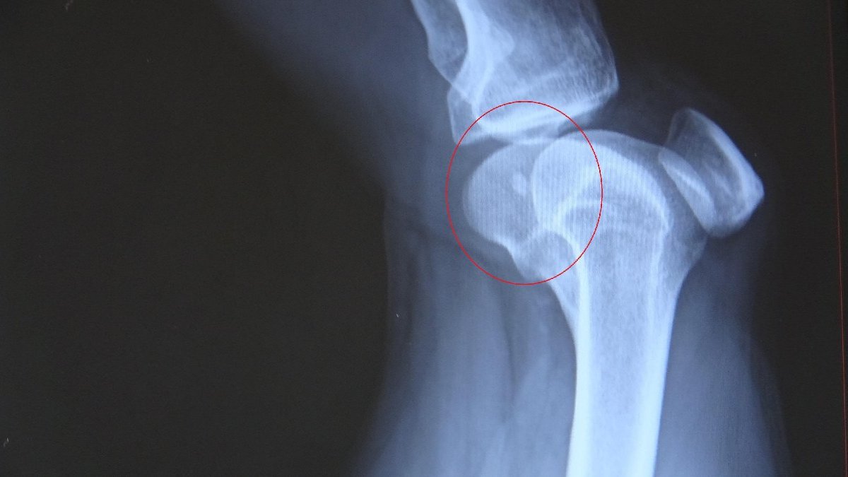
Çağlar, sağ bacağının diz kısmına mermi isabet ettiğini fark etti. Yakınları tarafından Karadeniz Teknik Üniversitesi (KTÜ) Tıp Fakültesi Farabi Hastanesine götürülen Çağlar, tedavi altına alındı. Çağlar'ın diz kapağındaki mermi ameliyatla çıkartıldı. Mermi balistik incelemeye alınırken, jandarma ekipleri silahı ateşleyen kişiyi tespit etmek için çalışma başlattı.